All-on-4 Dental Implants in Pickering

Home > Dental Treatments > Teeth in a Day / All-on-4

Is All-on-4 the Right Solution for Full Smile Restoration?

all on 4 dental implants, full arch fixed bridge pickering

If you are missing most or all of your teeth, wearing loose dentures, or trying to save multiple failing teeth, All-on-4 may be the treatment that changes everything. Instead of replacing teeth one by one, this approach uses a small number of carefully placed implants to support a fixed full-arch bridge. For the right patient, that means you can move from unstable teeth or removable dentures to a secure smile in a much shorter time frame.

At Pickering Smile Centre, we use modern 3D planning to determine whether Teeth in a Day / All-on-4 / All-on-X is appropriate for your case. The goal is not to promise the same solution to everyone. The goal is to determine whether a fixed full-arch implant restoration can provide better function, greater stability, and a more predictable long-term outcome than traditional dentures or piecemeal treatment. Pickering Smile Centre’s current page already positions this treatment as a full-arch solution supported by 4 to 6 implants, often with a fixed prosthetic delivered the same day, using 3D imaging for surgical planning.

Get your consultation virtually! Just contact us!
BOOK a VIRTUAL Consultation TODAY!
notebook

What Is All-on-4 or Teeth in a Day?

teeth in a day all on x dental implants fixed temporary bridge

All-on-4, sometimes called All-on-X or Teeth in a Day, is a full-arch implant concept used to replace an entire upper or lower set of teeth with a fixed bridge supported by a limited number of implants. In many cases, that means four implants, but depending on bone quality, arch shape, and long-term load distribution, some patients may require more than four. That is one reason many clinics now use the broader term All-on-X rather than promising the same number to every patient. Some regional competitors make this point directly, noting that although offices may advertise four implants, the actual number used should be based on what is needed for long-term success.

The phrase Teeth in a Day refers to the fact that, for suitable patients, extractions, implant placement, and delivery of a fixed temporary bridge can often happen on the same day or within 24 hours. That does not necessarily mean your final long-term bridge is delivered that same day. It means you do not have to go home without teeth while the implants heal. Pickering Smile Centre’s current page already emphasizes this immediate fixed prosthetic approach as a key benefit over older full-mouth implant workflows.

What Problems Can All-on-4 Solve?


All-on-4 is not simply a cosmetic upgrade. It is usually considered when a broader structural problem affects the entire arch.

missing teeth, dentures, problems, dental implants, solution icons

Multiple Missing Teeth

If most teeth in one arch are already missing, replacing them one by one is not always the most practical or cost-effective plan. A full-arch implant bridge can restore a complete row of teeth with fewer implants than would be required to place one implant per tooth.

Multiple missing teeth full arch implant restoration

Failing Teeth That Cannot Be Predictably Saved

Some patients still have teeth present, but those teeth are heavily restored, loose, infected, broken down, or have a poor long-term prognosis. In those cases, staged repair can become expensive, frustrating, and unstable. All-on-4 may provide a more decisive solution.

failing teeth, full mouth restoration, all on 4

Loose, Painful, or Unreliable Dentures

Traditional dentures can shift while speaking and eating, create pressure points, and reduce confidence in social settings. A fixed implant-supported bridge changes that experience completely because it is anchored rather than removable.

Loose dentures vs fixed implant-supported bridge

Difficulty Chewing and Limited Food Choices

When teeth are unstable or dentures are not functioning well, patients often adapt by avoiding foods they once enjoyed. A fixed full-arch prosthesis can restore stronger, more confident chewing.

Loss of Confidence in Daily Life

Loss of Confidence in Daily Life

Patients considering this treatment are often not just tired of missing teeth. They are tired of planning their speech, smile, and meals around a dental problem that keeps getting worse.



Competitor and related implant pages in the Pickering/Durham market consistently position implants as a way to restore function, stabilize the bite, improve appearance, and reduce the limitations of missing teeth or dentures.

Who Is a Good Candidate for All-on-4?

all on 4 candidate jawbone implant planning 3d

You may be a good candidate for All-on-4 dental implants in Pickering if you:

  • are missing most or all teeth in the upper or lower arch
  • have multiple failing teeth and want a more definitive solution
  • are frustrated with loose or uncomfortable dentures
  • want a fixed restoration rather than a removable appliance
  • have enough available bone for strategic implant placement, or may still qualify without extensive grafting

One of the strongest appeals of All-on-4 is that it can sometimes help patients who have been told they need more extensive reconstruction. Because implants are strategically angled and planned using 3D imaging, bone grafting may be reduced or avoided in some cases. That is a core benefit already highlighted by Pickering Smile Centre’s current page and by nearby “Teeth in a Day” providers in Durham Region. That said, it should not be presented as an absolute rule for every case. Some patients still need additional procedures depending on anatomy and treatment goals.

You may not be an immediate candidate if you have uncontrolled periodontal disease, untreated medical conditions that affect healing, severe parafunction without management, or expectations that do not align with what this treatment can realistically deliver. A proper consultation matters because this is not a commodity procedure. It is a full-mouth rehabilitation plan.

Why Patients Choose All-on-4 Instead of Dentures


The biggest difference is experiential. With removable dentures, many patients experience movement, pressure points, food trapping, reliance on adhesives, reduced bite force, and anxiety in social settings. With All-on-4, the treatment goal is a fixed prosthesis that feels substantially more stable in daily life.

Stability

Dentures rest on tissue. All-on-4 is supported by implants anchored in bone. That changes how the restoration behaves when you eat, speak, and smile.

Function

Patients generally pursue this treatment to return to a broader, more comfortable diet and to reduce the compromises associated with removable appliances.

Confidence

A fixed bridge usually gives patients far more confidence than a denture they worry might shift or loosen.

Bone Support

Implants also help support the jawbone in a way that removable dentures do not. Regional implant providers routinely describe implants as a means of preserving facial tissues and supporting improved long-term function.

All-on-4 vs Traditional Full-Mouth Implants

teeth in a day all on x dental implants vs traditional full-mouth implants

This is another area where patients need clarity. Traditional full-mouth implant treatment can involve more implants, more visits, longer treatment sequencing, and, in some cases, more grafting. All-on-4 simplifies the concept by using fewer strategically positioned implants to support a full-arch bridge.

That does not make All-on-4 the right solution for every patient, and it does not mean “less treatment” automatically means “better treatment.” What it means is that for suitable cases, the treatment can often be made more efficient, with fewer implants and a faster transition to fixed teeth. Pickering Smile Centre’s current page specifically emphasizes fewer implants, fewer appointments, and often less discomfort than older full-arch implant approaches.

Benefits of All-on-4 Dental Implants

A Fixed Smile Faster

For the right patient, teeth are removed, implants are placed, and a fixed prosthetic is provided the same day or within 24 hours. That immediate transition is one of the defining reasons patients search for Teeth in a Day.

Fewer Implants Than Replacing Every Tooth Individually

Because the bridge is supported by a limited number of implants, treatment can often be more efficient than replacing each tooth with its own implant.

Reduced Need for a Removable Temporary Denture

One of the biggest emotional benefits is that you do not have to spend a healing phase without teeth or with a loose removable appliance.

Better Stability Than Dentures

A fixed prosthesis changes the day-to-day experience of chewing and speaking.

Strong Aesthetic Potential

A full-arch prosthesis can be designed to improve the look of the smile, support facial proportions, and create a more even, complete appearance.

Predictable Long-Term Direction

For many patients with failing teeth, this is not just about replacing what is lost today. It is about breaking the cycle of repeated breakdown and patchwork dentistry.

What to Expect:
The All-on-4 Procedure Step by Step

The Canadian Dental Care Plan generally covers essential dental services designed to maintain oral health and treat dental problems. Certain procedures may require pre-authorization before treatment can be completed. At Bayview Smile Centre, eligible CDCP patients may receive several types of dental services.


Step 1: Consultation and Full-Arch Assessment

We begin with a full exam, medical and dental history, discussion of symptoms and goals, and 3D imaging. The purpose is to determine whether All-on-4 is appropriate, whether extractions are needed, how many implants are likely required, and what kind of temporary and final bridge design makes sense.


Step 2: Digital Planning

This stage is critical. The implant position is planned strategically to maximize available bone and provide support for the prosthetic. Pickering Smile Centre’s current page already highlights 3D imaging as central to this process.


Step 3: Removal of Hopeless Teeth if Needed

If there are failing teeth with a poor prognosis, these are removed at the surgical visit as part of the transition to a full-arch implant restoration.


Step 4: Implant Placement

Four to six implants are typically placed in the arch, depending on the case. Angulation and position are selected to create support and stability for the planned bridge.


Step 5: Fixed Temporary Bridge

For suitable patients, a fixed temporary prosthesis is attached on the same day or within 24 hours. This is the stage most patients mean when they say “Teeth in a Day.”


Step 6: Healing and Final Bridge

After the implants integrate and tissues stabilize, the final long-term bridge is fabricated and delivered. This bridge is typically stronger, more refined, and designed for longer-term function than the immediate temporary.

All on 4 consultation, dentist, Pickering, treatment planning
Book your FREE Consultation at Pickering Smile Centre today!
BOOK a VIRTUAL Consultation TODAY!
notebook

Recovery After All-on-4

all on 4 recovery healing after implants

Patients are often far more worried about recovery than about the surgery itself.

Most people can expect some swelling, soreness, dietary restrictions, and a softer-food phase as healing begins. The exact experience depends on how many teeth were extracted, how many implants were placed, and the complexity of the case.

The important point is this: same-day teeth does not mean same-day full strength. You leave with a fixed smile, but you still need to respect the healing period. A properly managed recovery protects the implants and the temporary prosthesis while osseointegration takes place.

Patients should expect instructions around:

  • Eating softer foods initially
  • Keeping the area clean
  • Attending follow-up visits
  • Reporting unusual pain, looseness, or swelling
  • Transitioning from the temporary bridge to the final restoration at the appropriate stage

How Long Do All-on-4 Implants Last?

all on 4 implants long term durability full arch

This question has two parts: the implants themselves and the bridge they support.

The implants are intended as a long-term foundation. The prosthetic bridge also has long-term value, but like any restoration, it is still subject to wear, maintenance, bite forces, and hygiene. Pickering Smile Centre’s current page references a 95% implant success rate over 30 years, but it is better to present longevity carefully: long-term success depends on planning, fit, daily hygiene, regular maintenance, and recall visits.

A stronger claim is not that “everything lasts forever.” It is that the treatment can provide a long-term fixed solution when it is well planned, well maintained, and regularly monitored.

Cost of All-on-4 in Pickering

The cost of All-on-4 dental implants in Pickering varies depending on your specific case. During your consultation, we provide a clear, personalized treatment plan so you understand exactly what is involved. We prioritize transparency by explaining each phase of treatment, what is included, and how your procedure will be completed from start to finish.

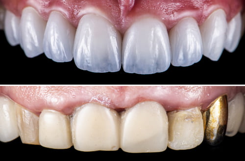
all on 4 before after full arch restoration results

The final cost may depend on:

  • Whether one or both arches are being treated
  • The need for extractions or preparatory procedures
  • The number of implants required
  • The type of temporary and final restoration
  • Case complexity and surgical planning

Financing Options Available

We understand that full-arch implant treatment is a significant investment. That’s why Pickering Smile Centre offers flexible financing options to make All-on-4 more accessible.

Our team can help you:

  • Break down the cost into manageable monthly payments
  • Explore financing plans with quick approvals
  • Plan treatment in a way that fits your budget

During your visit, we will walk you through all available options so you can move forward with confidence and clarity.

Why Choose Pickering Smile Centre for All-on-4 Dental Implants


This treatment should not be judged by marketing phrases like “perfect smile in a day.” It should be judged by planning, case selection, surgical execution, prosthetic design, and long-term follow-up. Pickering Smile Centre already positions itself around:

full-arch implant treatment

3D planning

same-day fixed prosthetics when appropriate

denture alternatives

broader implant-based rehabilitation options



A strong reason to choose the clinic is not simply that the procedure is offered. It is that the treatment is explained honestly, the case is properly assessed, and the plan is built around function, stability, and long-term maintenance — not just speed.

Ready to Find Out if All-on-4 Is Right for You?

If you are tired of failing teeth, removable dentures, or trying to decide between multiple treatment paths, an All-on-4 consultation can help you understand what is realistically possible.

At Pickering Smile Centre, the first step is not pressure. It is clarity. We assess your teeth, jawbone, goals, and timeline, explain whether Teeth in a Day is appropriate for your case, and map out what the treatment would actually involve.

Book your All-on-4 consultation in Pickering to learn whether a fixed full-arch solution can restore your smile, function, and confidence.

great smile 2

Discover your perfect smile today

We take great pride in what we do, and how we do it. Together, we can navigate your journey to lifelong dental health. Let us help you bring out your happiest and healthiest smile!

Frequently Asked Questions
About All-on-4 in Pickering

Am I a candidate for Teeth in a Day if I still have teeth?

Yes, in many cases. Patients often pursue All-on-4 because the teeth they still have are failing, unstable, heavily restored, or no longer predictable to maintain. If those teeth have a poor long-term prognosis, they may be removed and replaced with a fixed full-arch prosthesis.

Is All-on-4 the same as replacing every tooth with an implant?

No. All-on-4 replaces a full arch with a smaller number of implants supporting a fixed bridge. It is a full-arch solution, not one implant per tooth.

Do I always get teeth the same day?

Often, yes, but only when the case is suitable. A fixed temporary bridge can frequently be provided the same day or within 24 hours, but this depends on stability, planning, and the condition of the arch.

Does All-on-4 always avoid bone grafting?

Not always. One advantage of this concept is that strategic planning can reduce the need for grafting in many patients, but it should never be presented as a universal guarantee.

Will the temporary bridge look like my final teeth?

No. The temporary bridge is designed to get you through the healing phase with a fixed smile. The final bridge is typically more refined in fit, strength, and aesthetics.

Is recovery painful?

Most patients should expect soreness, swelling, and a healing phase, especially if extractions are involved. The experience varies by case, but recovery is usually more manageable when patients understand what to expect and follow post-op instructions closely.

Can I eat normally right away?

Not completely. Even with same-day fixed teeth, a soft-food phase is usually required while the implants heal. The fixed bridge improves stability, but healing still needs to be respected.

How do I clean All-on-4 implants?

You clean them daily, but the technique is different from cleaning natural teeth. Patients need instruction on cleaning around the bridge and along the gumline, and the bridge should be professionally monitored and maintained on a regular schedule.

How long does the final bridge last?

It depends on bite forces, hygiene, maintenance, and materials. The implants are intended as a long-term foundation, while the prosthetic may require maintenance or future replacement over time.

Is All-on-4 better than dentures?

For many patients, yes — especially when the main frustration is movement, lack of chewing confidence, and the inconvenience of a removable appliance. But the best choice still depends on your anatomy, goals, and budget.

Our Work

Smile Gallery


905-668-1398

1690 Dersan St, Unit 140
Pickering, ON, L1X 0E3, Canada